COPYRIGHTⓒChung Dam Neo plant DENTAL. ALL RIGHT RESERVED.
치아교정성형
CHEONG DAM NEO PLANT DENTAL CLINIC
청담네오플란트만의 특별한 치아교정
청담네오플란트 치아교정은 치료기간과 통증을 최소화하여 환자분들의 불편감을
줄여 치료 만족도가 높습니다. 청담네오플란트에서는 풍부한 진료경험과 노하우를
가진 교정 의료진이 책임진료를 실시하고 있습니다.
앞니의 조그만 변화에도 나의 첫인상이 확 달라질 수 있습니다. 가지런한 치아에서 시작되는 당당한 자신감, 나만의 경쟁력입니다!
청담네오플란트 교정과김설희 원장
청담네오플란트치과 치아교정의 특별함
첨단 시스템으로 미리 보는 치아교정
3D 영상장치를 통해 입체구현
전문성과 노하우를 갖춘
치의학박사의 1:1 책임 진료
개인별 맞춤 치아교정
다양한 정품 교정장치로 만족스러운 결과
사후관리까지도 철저하게
치아교정 후 AS보증서 발행
개인별 상황에 따른 다양한 정품 교정장치와 전문의료진
치아교정 치과를 선택할 때 치과교정과 전문의의 전문진료가 가능한지
꼭 알아보셔야 합니다. 청담네오플란트에서는 보건복지부 인증 전문의이자
치의학박사 대표원장 및 교정원장님께서 1:1 책임진료를 실시하고 있습니다.
치아교정 뿐 아니라 모든 진료를 한 곳에서
교정치료 중에는 치아우식 및 치주질환 관리를 더 철저히 해야합니다.
청담네오플란트치과는 오랜경험을 바탕으로 한 의료진 협진을 통해 치아교정 중의
구강건강관리 및 예방치료까지도 제공하고 있어 교정치료 중 다른 치과를
찾아다닐 불편함이 없습니다. 분야별 베테랑 전문의료진이 환자분들의
평생 치아관리에 힘쓰겠습니다.
인코그니토 교정
.01
클리피씨 교정
.02
데이몬클리어
.03
인비절라인 교정
CHEONG DAM NEO PLANT DENTAL CLINIC
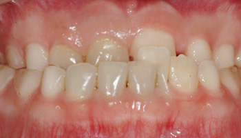
치아성형 시술과정
청담네오플란트 치아성형 시술과정입니다.
01
도포마취
정확한 검사와 진단을 통해 진료를 시작합니다.
02
가상성형
가상성형 프로그램을 이용하여 최종 치료 후 모습을 확인합니다.
03
가상보철
가상보철을 만들어서 구강내 확인 후 최종 보철물을 제작합니다.
04
최종보철
최종 치료 모습을 확인합니다.
CHEONG DAM NEO PLANT DENTAL CLINIC
원스톱 진료시스템
상담 당일에 시작하는 원스톱 교정 프로그램
진단부터 장치 부착까지 하루에 진행하는 프로그램으로써 바쁜 학생, 직장인, 지방 거주자 분들의 번거로움을 줄여드립니다.
01
디지털 촬영
02
각종 정밀 진단
03
상담 및 분석
04
교정장치 장착
어떻게 하면 환자 분들께 치아건강과 아름다움을 하루라도 빠르게 선사할 수 있을까?
청담네오플란트는 늘 고민합니다.
청담네오플란트는 바쁜 환자분들의 편의를 위해 여러 번 내원하는 번거로움을 덜어드리고
최대한 지체없이 진료가 진행될 수 있도록 원스톱 진료시스템을 구축하려고 하고 있습니다. 베테랑 전문의료진들의 노하우와 첨단 의료장비를 통한
정확하고 신속한 진단을 통해 개인별 상황에 따른 맞춤 진료가 원활하게 진행될 수 있도록 더 연구하고 노력하겠습니다.
CHEONG DAM NEO PLANT DENTAL CLINIC
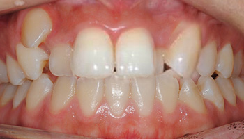
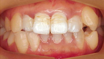
증상별 치아교정
덧니 교정
치아가 자라나올 자리가 부족해 삐뚤게 난 치아를 덧니라고 합니다. 덧니가 있는 경우, 칫솔질이 어려워 충치나 잇몸병이 생기기 쉽습니다. 교정치료를 통해 치아를 가지런하게 하여 외모를 개선할 뿐만 아니라, 치아를 오랫동안 건강하게 지킬 수 있습니다. 덧니 교정을 위해서 치아를 뽑고 교정치료(발치 교정치료) 를 하거나, 치아를 빼지 않고 교정 치료(비발치 교정 치료)를 할 수 있습니다. 교정 전문의가 환자분 얼굴 형태와 치아를 정밀하게 분석하여 어떤 방법으로 치료할 것인지 정확하게 진단을 합니다.
돌출입 교정
앞니가 앞으로 튀어나와 있으면 입이 나와 보이게 됩니다. 또한 입술을 억지로 다물어 퉁명스러운 인상을 줍니다. 돌출입 교정치료를 통해 드라마틱한 얼굴 변화를 얻을 수 있고, 인상도 개선할 수 있습니다. 돌출입 교정은 환자 얼굴과 가장 잘 어울리는 위치에 치아를 두는 것이 가장 중요합니다. 많은 치료 경험이 있는 교정 전문의가 환자 얼굴에 맞는 치아 위치를 잡아줍니다.
개방교합 교정
개방교합이란 아래 위 치아가 서로 맞물리지 못하는 경우입니다. 개방교합이 있을 경우 앞니로 음식을 베어 무는 것이 힘들고, 말할 때 발음이 샐 수 있습니다. 개방교합 교정으로 자연스러운 정상교합으로 만들어 줍니다.
주걱턱(반대교합) 교정
아래턱이 앞으로 나와 보이며, 아래 앞니가 위 앞니를 덮는 경우입니다. 주걱턱이 있으면 화난 인상을 주며, 치아가 잘 맞물리지 않아 씹는 기능도 떨어집니다. 아래턱이 나온 정도가 심하지 않을 때는 교정치료 만으로도 치료가 가능하고, 심할 경우 수술 치료와 함께 교정치료를 해야 합니다. 주걱턱 교정을 통해 아름다운 얼굴을 만들어주고, 씹는 기능도 높여줄 수 있습니다.
뻐드렁니 교정
뻐드렁니는 앞니가 가지런하게 안쪽으로 모아지지 않고 바깥으로 튀어나온 형태를 말합니다. 입은 나오지 않고 앞니 끝부분만 바깥쪽으로 향해 있는 경우 교정치료를 통해 간단하게 바로 잡을 수 있습니다.
벌어진 이 교정
치아의 크기가 작거나 치아가 선천적으로 없는 경우에 치아 사이가 벌어질 수 있습니다.
벌어진 이는 교정치료를 통해 간단하게 해결할 수 있습니다. 치아 사이 틈이 없어지면 지적이고 단아한 이미지를 줄 수 있습니다.
청담네오플란트환자별 책임의료진
청담네오플란트 전문의료진은 치의학박사, 전문의가
직접진료하며 환자 한분한분을 1:1 주치의 시스템으로
정성스럽게 진료합니다. 환자분들의 편안한 진료를 위해
최선을 다하겠습니다.
청담네오플란트 치과에서는합리적인 가격으로
치료 받으실 수 있습니다.
청담네오플란트 치과는 가격으로만 경쟁하지 않고, 좋은 재료와 수준 높은 진료를 합리적인 가격으로
제공받으실 수 있도록 노력하겠습니다.
청담네오플란트 치과는새로운 인테리어로
여러분을 모십니다.
호텔같은 1인 진료실을 통해 고객 한분한분을
정성스럽게 모시도록 하겠습니다. 청담네오플란트에서
호텔과 같은 편안한 진료를 받으시길 바랍니다.